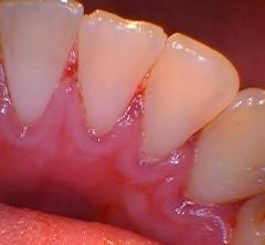
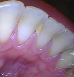
Do you see some white stuff in yellow circles stuck between your teeth?
Does your gum bleed easily every time you brush your teeth?
If yes, most likely you are past due for your dental cleaning appointment!
Give us a call for your dental cleaning appointment!
You may be confused you could just get regular cleaning for these build-ups. You will need gum treatment or Scaling and Root Planning to remove all these for healthy gum!
Place mouse over picture to pause
If you have difficulty using our website, please email us
or call us at (469) 293-2530
View the ADA Accessibility Statement


