WooKwon Park, DDS
Proudly serving Lewisville, Coppell
Did you know you can text us!
TEXT us
at
469-293-2530
if you have an appointment request or any question!
Menu
Call
Book Now
Map
Home
About
Our Team
Technology
Photos of Park Dental
Services
View All
Dental Emergency
Preventive Care
Dental Implants
Teeth Whitening
Night & Mouth Guards
SureSmile
Children's Dentistry
Partial & Complete Dentures
Sedation
Fillings (White)
Root Canal Therapy
CEREC Same Day Crowns
Extractions & Wisdom Teeth Removal
Bone Graft
Porcelain Veneers
Snap-On Smile
Emergency in the office
Smile Gallery
Testimonials
Forms
Blog
Financial
Contact
WooKwon Park, DDS
Proudly serving Lewisville, Coppell
Schedule an Appointment
Like us on Facebook
Follow us on Twitter
Leave a Google Review
(469) 293-2530
771 W Round Grove Rd Ste W100
Lewisville, Texas 75067
WooKwon Park, DDS
>
Smile Gallery
>
Gum Treatment
Meet the Team
Our Services
New Patient Forms
Contact Us
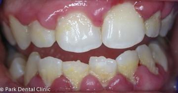
Gum Treatment
Return to Smile Gallery
Previous
Next
It used to be bleeding all the time but not the case anymore after gum treatment
Related Services:
Preventive Care
Before
After
Still need an appointment?
Contact Us
If you have difficulty using our website, please
email us
or call us at
(469) 293-2530
View the
ADA Accessibility Statement
Turn on ADA Views
OK!
×
×
Contact Us Today
Give Us A Call
Park Dental Clinic -
(469) 293-2530
Send Us an Email
Schedule an Appointment
Contact
Ready to Schedule an Appointment?
Schedule an Appointment
Have Questions? Contact Us:
Required Field
Your Name:
Phone:
Email:
Are you a new patient?:
Are you a?
New Patient
Current Patient
How would you like us to contact you?
Please choose
Email
Call
How did you hear about us?
Please choose
Google
Bing
Yahoo
Mailer
Referral
Social media
Other
Who Referred You?:
Appointment Preferences
Monday
Tuesday
Thursday
Friday
Saturday
Brief Message:
This site is protected by reCAPTCHA and the Google
Privacy Policy
and
Terms of Service
apply.
Sending...
×
This Patient's Experience
Loading Testimonial...
Loading Case...