WooKwon Park, DDS
Proudly serving Lewisville, Coppell
Did you know you can text us!
TEXT us at 469-293-2530 if you have an appointment request or any question!

In a single visit

August 21, 2023
|
Posted By: WOOKWON PARK DDS

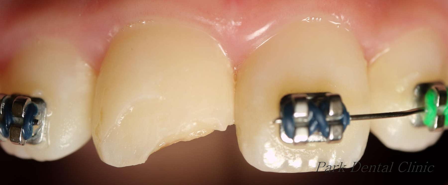
If you chip your front tooth, not only is it hurting but more importantly it's embarrassing!

You can fix your tooth with permanent restoration in a single visit!

If this happens to you or your family, don't hesitate to reach out to us!

469-293-2530

If you have difficulty using our website, please email us or call us at (469) 293-2530
View the ADA Accessibility Statement
Privacy Policy